GE HealthCare Events Center
Not all products and services may be available in your country or region.
*Not all products and services may be available in your country or region
LIVE BROADCAST UNDERWAY JOIN
Cardiac Advanced Post Processing Applications
An integrated suite of CT Cardiac post-processing tools.
Request info
Overview
Innovation Theater

Cardiac Advanced Post Processing Applications
Request info
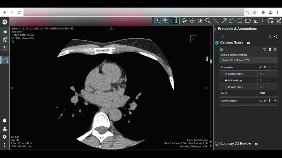
CardIQ Suite
CardIQ Suite provides an integrated workflow to seamlessly review calcium scoring and CCTA data. The fully automated calcium scoring algorithm identifies coronary calcium burden and location providing a total and per territory score within seconds of loading. Users can immediately move into the CCTA review, using cine capability for motion studies and double oblique tools for viewing the vasculature for a full review of coronary arteries and chambers.
SnapShot Freeze 2
SnapShot Freeze 2 is an automated motion correction algorithm that freezes coronary arteries as well as corrects the motion within the entire heart, including valves, chambers, myocardium and great vessels.
SmartScore 4.0
SmartScore 4.0 is designed to identify the presence of regional and global coronary artery calcification from a CT scan, then measure and score the results.
ACKNOWLEDGEMENTS
GE HealthCare Events Center
Product availability
Not all products and solutions, shown on the GE HealthCare Events Center, may be available in your country. Please contact a GE HealthCare representative to confirm availability.
Information We Collect
We want to be transparent about the data we and our partners collect and how we use it, so you can best exercise control over your personal data. For more information, please see our Privacy Policy.

We use the following partners to better improve your overall web browsing experience. They use cookies and other mechanisms to connect you with your social networks and tailor advertising to better match your interests. You can elect to opt-out of this information collection by unticking the boxes below.
Categories
Required
Analytics
We use analytical cookies to measure how you use our website so we may continually improve it. For example, these cookies allow us to recognize and count the number of visitors to our website and see which pages visitors view.
Required
Marketing and Personalization
These cookies track visitor activity and sessions so that we can deliver a more personalized experience. We use marketing cookies to display personalized advertisements on other sites you may visit to deliver relevant content and measure the effectiveness of our marketing investments.
Required
Functional and Performance
These cookies help us measure the website’s performance and improve your experience. In using performance cookies, we do not store any personal data, and only use the information collected through these cookies in aggregated and anonymized form.
Accept All
Decline All
LOGIN
Gain access to GE HealthCare events with a quick, easy and secure login. Join us now!
We are unable to locate your information in our systems. Please complete this form to access the site. Upon return visits, you will only need to enter your email to access.
Please enter your name and where you work?
Required fields are marked with an asterisk (*). For conference information, or attendee support, please contact us
CONTACT US
We’re ready to support you.
Please enter your email.
Your privacy matters, learn about our privacy policy.
We are unable to locate your information in our systems. Please complete this form to access the site. Upon return visits, you will only need to enter your email to access.
Please enter your name and where you work?
Required fields are marked with an asterisk (*). For conference information, or attendee support, please contact us
We’re ready to support you.
What can we help you with?*
What is your primary area of interest?*
Please enter your email.
Your privacy matters, learn about our privacy policy.
We are unable to locate your information in our systems. Please complete this form to access the site. Upon return visits, you will only need to enter your email to access.
Please enter your name and where you work?
Required fields are marked with an asterisk (*). For conference information, or attendee support, please contact us
Thank you for contacting us. A GE HealthCare representative will be in touch soon.
CONTACT US
Loading your request form
SCHEDULE A MEETING
How you would like to meet with our experts?
Virtual
At RSNA
Fully Booked! Please try another session.