GE HealthCare Events Center
Not all products and services may be available in your country or region.
*Not all products and services may be available in your country or region
LIVE BROADCAST UNDERWAY JOIN

X-ray at RSNA 2022

Helping you make the first image count
Radiography departments must provide an increasingly exceptional patient experience, even as demand continues to rise. Our X-ray solutions help to increase consistency while providing a positive experience for your staff and patients.
Learn more

New products and solutions

Definium™ 656 HD
Give your radiology department a personal assistant
Quality Care Suite 2.0
On-device AI with real-time, automated quality checks
Innovation Theater

on-demand
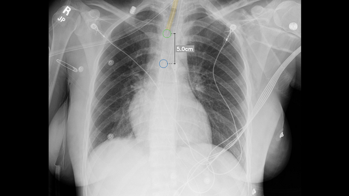
Artificial intelligence-enabled detection of pneumothorax on chest X-rays: analyzing its accuracy and effect on improving radiologist workflow
(20 min) Join us to learn about how artificial intelligence can enable the detection of pneumothorax from chest X-rays. Hear from Dr. Amit Gupta, Cardiothoracic Radiologist, who has analyzed the accuracy and effect on improving the radiologist workflow.
on-demand
Entering a new era in image resolution with deep-learning imaging reconstruction
(20 min) Join us to learn how deep-learning image reconstruction is enabling high image quality and helping improve patient outcomes. GE HealthCare is committed to furthering innovation in deep-learning capabilities across imaging to make an impact in the radiology department, providing more insights for increased clinical-decision support.
Date | Time
Save the date
REGISTER Learn more PLAY
Descriptor intro copy goes here Ullam quis nisi at augue euismod pellentesque. suspendisse consectetur dapibus lorem, ac iaculis arcu accumsan a. morbi euismod sapien vel mi dapibus fermentum. Ullam quis nisi at augue euismod pellentesque. suspendisse consectetur.
Speaker(s):
*Not all products and services may be available in your country or region.
Browse additional products
Asset 1
Request more info
Request a demo
Request Price
See more innovations
Asset 1
Disclaimer [-]
View more at GEHealthCare.com
Not all products and services may be available in your country or region.
ACKNOWLEDGEMENTS
GE HealthCare Events Center
Product availability
Not all products and solutions, shown on the GE HealthCare Events Center, may be available in your country. Please contact a GE HealthCare representative to confirm availability.
Information We Collect
We want to be transparent about the data we and our partners collect and how we use it, so you can best exercise control over your personal data. For more information, please see our Privacy Policy.

We use the following partners to better improve your overall web browsing experience. They use cookies and other mechanisms to connect you with your social networks and tailor advertising to better match your interests. You can elect to opt-out of this information collection by unticking the boxes below.
Categories
Required
Analytics
We use analytical cookies to measure how you use our website so we may continually improve it. For example, these cookies allow us to recognize and count the number of visitors to our website and see which pages visitors view.
Required
Marketing and Personalization
These cookies track visitor activity and sessions so that we can deliver a more personalized experience. We use marketing cookies to display personalized advertisements on other sites you may visit to deliver relevant content and measure the effectiveness of our marketing investments.
Required
Functional and Performance
These cookies help us measure the website’s performance and improve your experience. In using performance cookies, we do not store any personal data, and only use the information collected through these cookies in aggregated and anonymized form.
Accept All
Decline All
LOGIN
Gain access to GE HealthCare events with a quick, easy and secure login. Join us now!
We are unable to locate your information in our systems. Please complete this form to access the site. Upon return visits, you will only need to enter your email to access.
Please enter your name and where you work?
Required fields are marked with an asterisk (*). For conference information, or attendee support, please contact us
CONTACT US
We’re ready to support you.
Please enter your email.
Your privacy matters, learn about our privacy policy.
We are unable to locate your information in our systems. Please complete this form to access the site. Upon return visits, you will only need to enter your email to access.
Please enter your name and where you work?
Required fields are marked with an asterisk (*). For conference information, or attendee support, please contact us
We’re ready to support you.
What can we help you with?*
What is your primary area of interest?*
Please enter your email.
Your privacy matters, learn about our privacy policy.
We are unable to locate your information in our systems. Please complete this form to access the site. Upon return visits, you will only need to enter your email to access.
Please enter your name and where you work?
Required fields are marked with an asterisk (*). For conference information, or attendee support, please contact us
Thank you for contacting us. A GE HealthCare representative will be in touch soon.
CONTACT US
Loading your request form
SCHEDULE A MEETING
How you would like to meet with our experts?
Virtual
At RSNA
Fully Booked! Please try another session.